Общество

«Лекарства от него пока нет»: ВОЗ предупредила о новом вирусе Nipah

0 7315

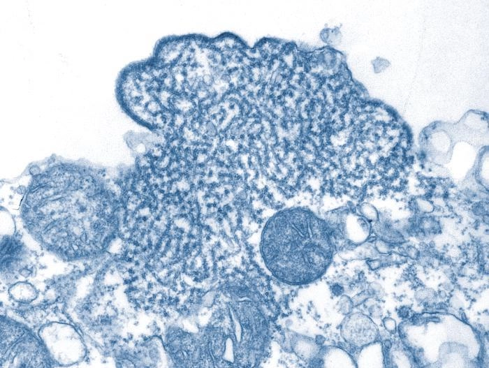
Всемирная организация здравоохранения (ВОЗ) предупредила о возможности новой пандемии, которая может быть вызвана вирусом Nipah. Его летальность оценивается в 40—75%. Заболевание зачастую протекает бессимптомно.

По данным организации, впервые Nipah был выявлен в 1999 году в Малайзии среди фермеров-свиноводов, живущих на реке Нипах. С тех пор в Южной Азии произошли 12 вспышек болезни.

Ученые обнаружили, что носителями вируса являются летучие лисицы, живущие в Африке, и плодоядные летучие лисицы из отряда крылановых, обитающие в Австралии, Китае, Новой Гвинее и Юго-Восточной Азии. При этом животные не болеют, сообщает The Guardian.

wikipedia

К человеку опасная инфекция передается в результате контакта с больными животными, а также с финиками и соком финиковой пальмы, загрязненными выделениями зараженных представителей фауны.

Специалисты подчеркивают, что лекарство от Nipah пока не изобретено.

Вирус Nipah — еще одно развивающееся инфекционное заболевание, вызывающее большую озабоченность. Следующая пандемия может быть спровоцирована инфекцией, устойчивой к лекарствам, — считает исполнительный директор некоммерческой организации Access to Medicine Foundation Джаясри К. Айер.

Вирус может вызвать у человека смертельный энцефалит. Чтобы снизить риск заражения, специалисты рекомендуют кипятить финиковый сок, а фрукты мыть и очищать от кожуры перед употреблением. Плоды, на которых присутствуют следы укусов, есть нельзя, пишет «РЕН ТВ».

В ВОЗ советуют избегать физического контакта с людьми, которые могут быть переносчиками вируса, чаще мыть руки и носить перчатки и маски. Это должно снизить риск передачи Nipah от человека к человеку.

В 2018 году вспышка вируса Nipah была зафиксирована в Индии. Инфекция унесла жизни 11 человек. Самыми распространенными симптомами заболевания являются лихорадка, головная боль, затруднение дыхания и кома, о чем рассказывал ridus.ru.