Вирус герпеса человека 4 типа был открыт в 1964 году вирусологами
Михаэлем Эпштейном и Ивонной Барр, сообщает BBC. Для его выделения были использованы ткани пациентов, пораженных лимфомой Беркитта. Образцы зараженных тканей вирусологу своевременно присылали из Уганды. Однако извлечь сам вирус из клеток ему не удавалось в течении трех лет.
50 лет назад в работу ученого вмешалась погода. Единственная задержка вылета самолета из-за тумана, оказала значительную помощь Эпштейну, который перед тем как выбросить просроченные образцы, решил взглянуть на них под микроскопом.

Михаэль Эпштейн и Ивонна Барр
"Жидкость была мутной и я подумал, что это могут оказаться расплодившиеся бактерии, - рассказал в интервью BBC 93-летний ученый. - "Прежде чем выбросить образец я проверил его соответствие с мокротой под микроскопом, обнаружив огромное количество свободно плавающий опухолевых клеток".
Выяснилось, что жизнеспособность поддерживает лимфа. С помощью одного из первых электронных микроскопов ученый установил,что это не обычный вирус герпеса, а что-то, как он решил, уникальное.
Дальнейшие исследования выявили, что не просто не является какой-то единичной разновидностью герпеса, им заражена половина детей в возрасте до 7 лет и 90% - 95% взрослого населения нашей планеты. Младенцы становятся восприимчивыми к вирусу Эпштейна-Барр, как только в их крови исчезают материнские антитела. Вирус содержится в биологических жидкостях организма, особенно высокая его концентрация обнаруживается в слюне. Передается воздушно-капельным и контактным путем.
Самый высокий риск заражения – во время поцелуя. По этой причине у заболевания, вызываемого ВЭБ, помимо научного названия есть еще и неофициальное имя – «Болезнь поцелуя».
Самой тяжелой формой инфицирования вирусом является лимфома – рак лимфатических узлов.

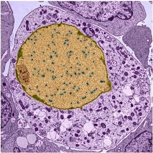
Частицы вируса в ядре поражённого раком белого кровяного тельца
Однако большинство людей во всем мире имеют стойкий иммунитет к вирусу Эпштейна-Барр по той причине, что в детстве или юношеском возрасте уже успели перенести связанные с вирусом болезни. Надёжной профилактикой болезней, вызываемых вирусом Эпштейна-Барр, будет систематическое и старательное укрепление иммунитета.