Редкое генетическое заболевание кожи было побеждено при помощи особого геля с содержанием специфического гена.
Примерно один из 800 000 детей рождается с рецессивным дистрофическим буллезным эпидермолизом. Эпидермолиз делает кожу чрезвычайно хрупкой и склонной к разрывам и образованию волдырей.
Из-за эпидермолиза у пациентов открываются раны по всему телу, волдыри в глазах и даже в горле, из-за чего людям приходится принимать жидкую пищу. Это заболевание вызвано дефектной версией гена коллагена под названием COL7A1. Кожа не способна производить здоровые белки коллагена, необходимые для прочности и эластичности.
В попытке победить страшную болезнь Питер Маринкович из Стэнфордского университета (США) разработал способ вставки нормальных генов COL7A1 в кожу таких людей, чтобы они могли правильно вырабатывать коллаген.
Для этого Маринкович модифицировал вирус простого герпеса для доставки генов COL7A1 в клетки кожи. Этот вирус обычно вызывает болезнь, но он был модифицирован таким образом, что не смог воспроизводиться и провоцировать герпес.

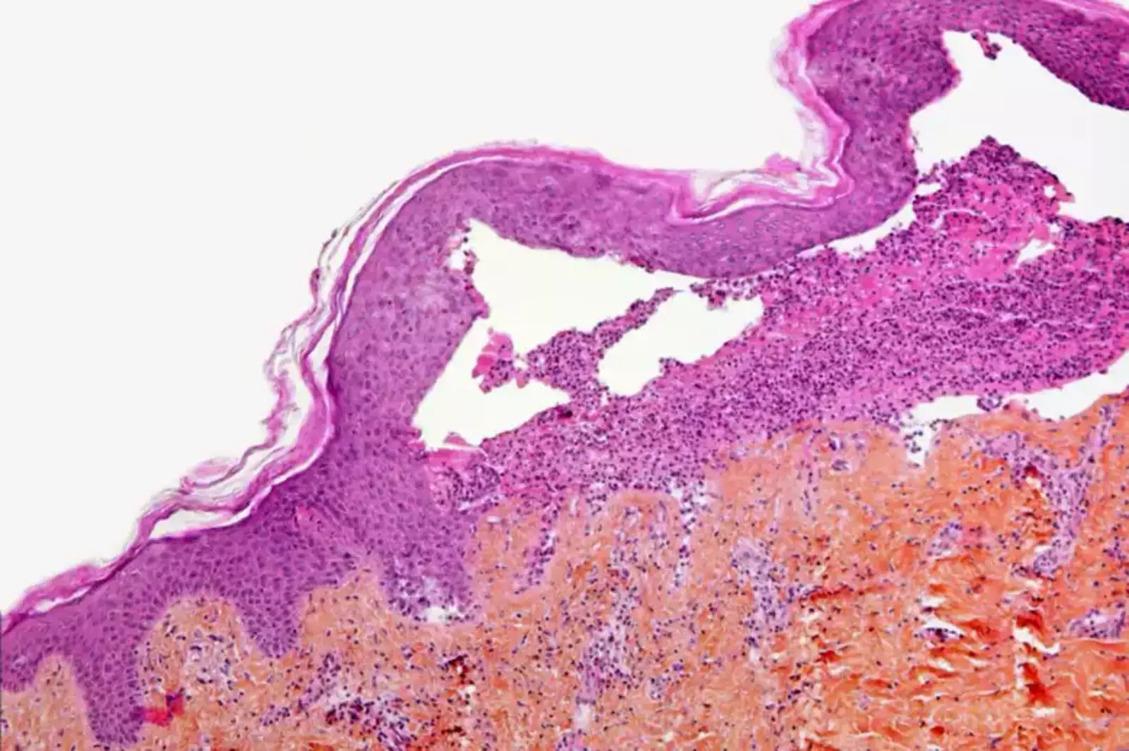
Образец кожи человека с буллезным эпидермолизом. Два слоя кожи, эпидермис и дерма, разделились, потому что между ними нет коллагена.
Как пояснил ученый, всё, что делает вирус, — входит в клетку и доставляет нужный ген. После разработки модифицированный вирус был включён в гель, а затем протестирован с участием 31 пациента, среди которых были дети с рецессивным буллёзным эпидермолизом.
Гель наносили на одну из ран еженедельно, а плацебо наносили на другую, чтобы сравнить результаты и оценить разницу. Через три месяца 71% ран, обработанных гелем, полностью зажили, по сравнению с 20% ран, обработанных неактивным гелем. Более того, от геля не возникло никаких побочных эффектов.
Маринкович пытался разработать лечение буллезного эпидермолиза более 25 лет. Ученый счастлив, что наконец спустя много лет у него есть готовое лекарство для пациентов, которое действительно работает. К сожалению, единственный минус геля заключается в том, что эффект не является постоянным, потому что клетки кожи естественным образом отмирают и заменяются. Поэтому гель необходимо повторно наносить примерно каждые шесть месяцев.